Ortodonzia · Valtellina e Milano

Il tuo sorriso migliore ti sta aspettando.

Sono Francesco Battoraro Moretti, Odontoiatra specialista in Ortognatodonzia. Qui trovi tutte le informazioni che stavi cercando.

Dr. Francesco Battoraro Moretti
Dr. Francesco Battoraro Moretti
Sondrio · Traona · Grosio · Milano

Un approccio su misura
per ogni paziente.

Mi sono laureato in Odontoiatria e Protesi Dentaria all'Università di Pavia nel 2012, dove ho proseguito gli studi specializzandomi con lode in Ortognatodonzia nel 2016. Sin dai primi anni di pratica clinica ho integrato nel mio percorso le tecnologie più avanzate per la correzione delle malocclusioni: ho conseguito la certificazione per l'utilizzo di allineatori trasparenti già nel 2015 e per l'ortodonzia linguale customizzata nel 2018.

Il mio approccio clinico si basa sull'utilizzo della tecnica più adatta per ogni singolo paziente, non una sola tecnica adatta a tutti. Per questo è fondamentale un corretto studio del caso, per arrivare alla diagnosi più completa possibile e, di conseguenza, alla terapia migliore. Sia per i bambini nell'età della crescita, sia per gli adulti.

Formazione
2012
Laurea in Odontoiatria e Protesi Dentaria
Università degli Studi di Pavia
2016
Specializzazione in Ortognatodonzia
Università degli Studi di Pavia
Certificazioni
dal 2015
Trattamento con allineatori trasparenti
Certificazione tecnica
dal 2018
Ortodonzia linguale customizzata
Certificazione tecnica
Società scientifiche
socio
SIDO
Società Italiana di Ortodonzia
socio
AIDOR
Accademia Italiana di Ortodonzia

Ogni caso ha la sua via.

Dall'ortodonzia tradizionale agli allineatori invisibili, fino alla tecnica linguale customizzata: ogni piano di trattamento parte da una diagnosi accurata.

Diagnosi

Analisi computerizzata avanzata di radiografie e fotografie, per una corretta valutazione dei rapporti scheletrici, dentali e dei tessuti molli, e un piano di cura individualizzato.

Ortodonzia fissa

Apparecchi fissi in metallo o estetici. Sono in grado di gestire qualsiasi malocclusione, anche le più complesse, con il massimo controllo biomeccanico.

Allineatori trasparenti

Mascherine trasparenti personalizzate per chi cerca discrezione senza rinunciare al risultato. Pianificazione digitale del trattamento e controlli periodici per ogni fase.

Ortodonzia linguale

Apparecchio fisso applicato sul lato interno dei denti, completamente invisibile dall'esterno. Tecnica customizzata per un risultato sorprendente.

Ortodonzia intercettiva

Intervento precoce nei bambini in fase di crescita, per guidare lo sviluppo delle basi ossee e prevenire malocclusioni più complesse in età adulta.

Mantenimento & contenzione

Fase finale ma essenziale: retainer fissi e mobili personalizzati, controlli periodici per garantire la stabilità del risultato nel tempo.

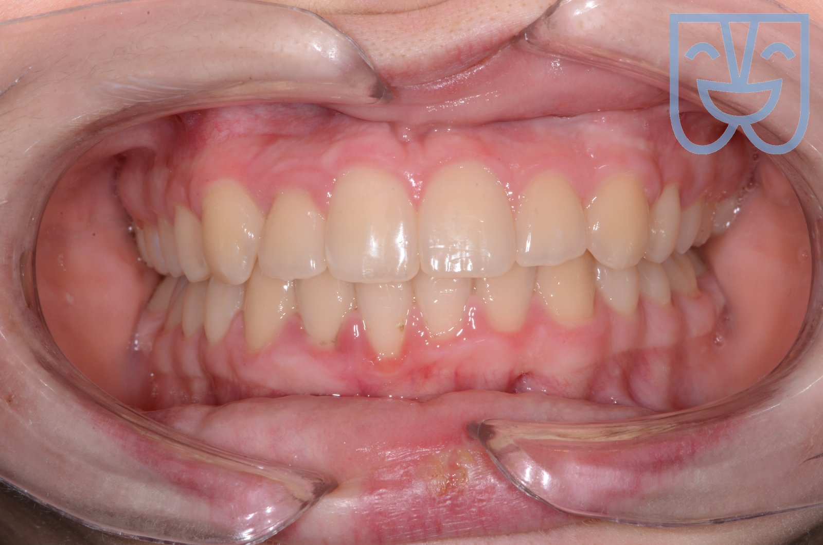
I risultati parlano.

Una breve selezione di trattamenti completati. Clicca sulle immagini per ingrandirle.

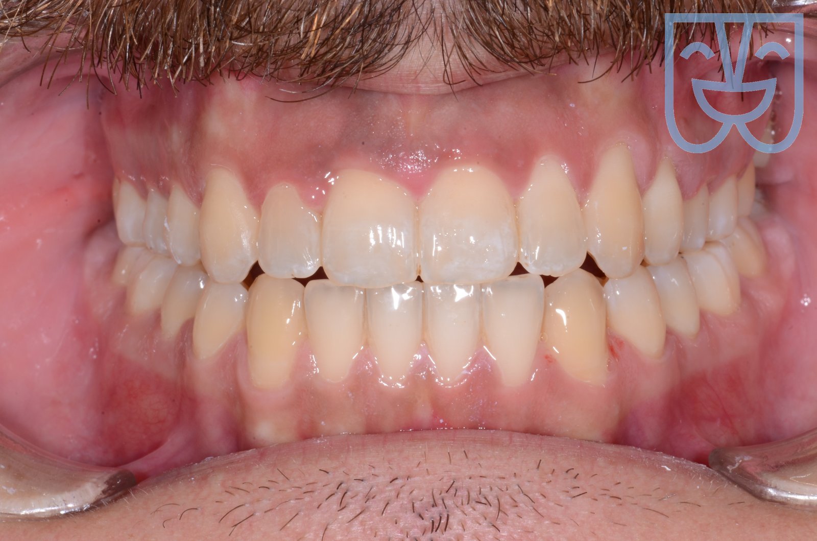
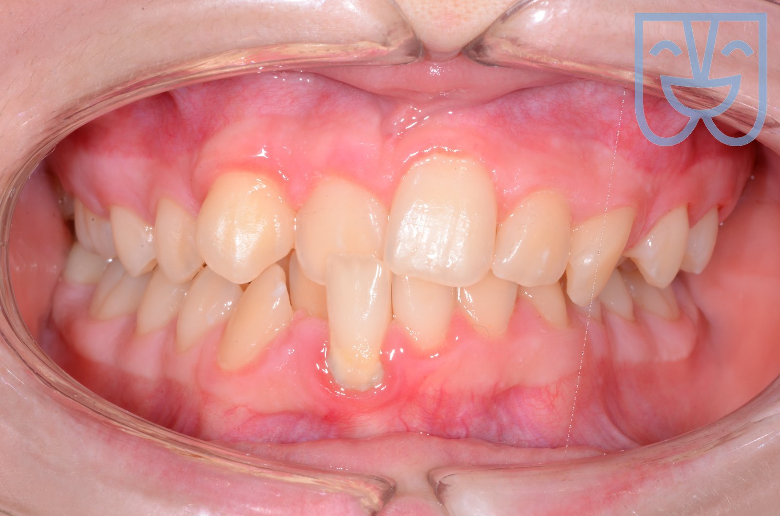
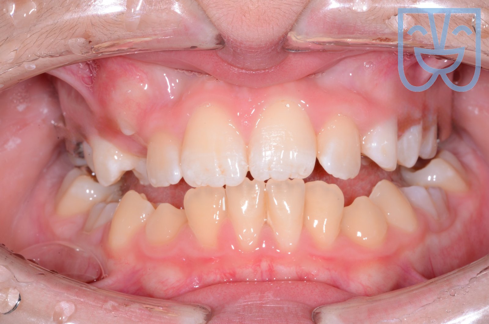
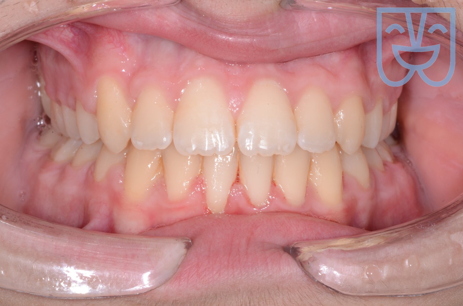
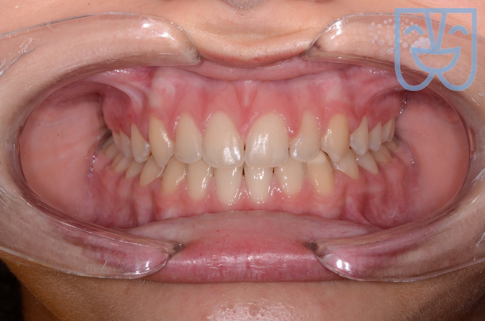
Prima Caso 01 — vista frontale prima del trattamento
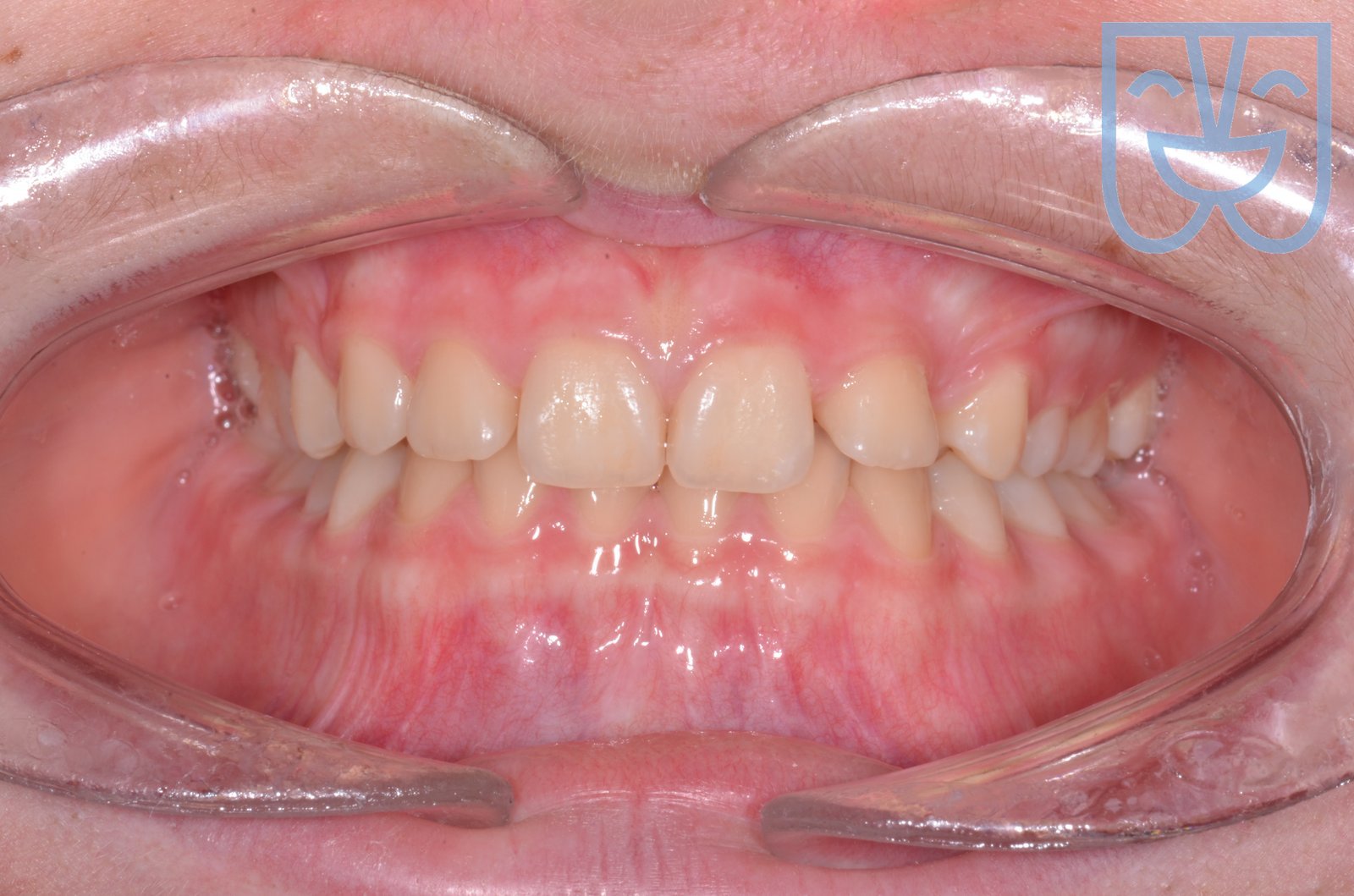
Dopo Caso 01 — vista frontale dopo il trattamento
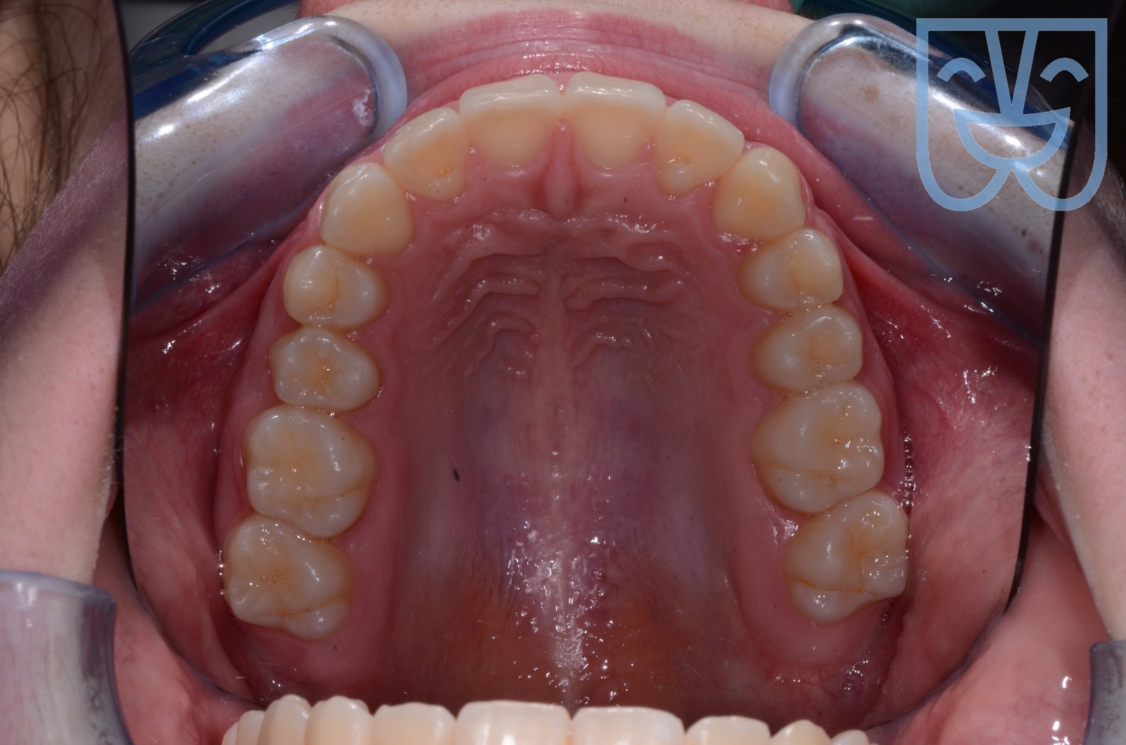
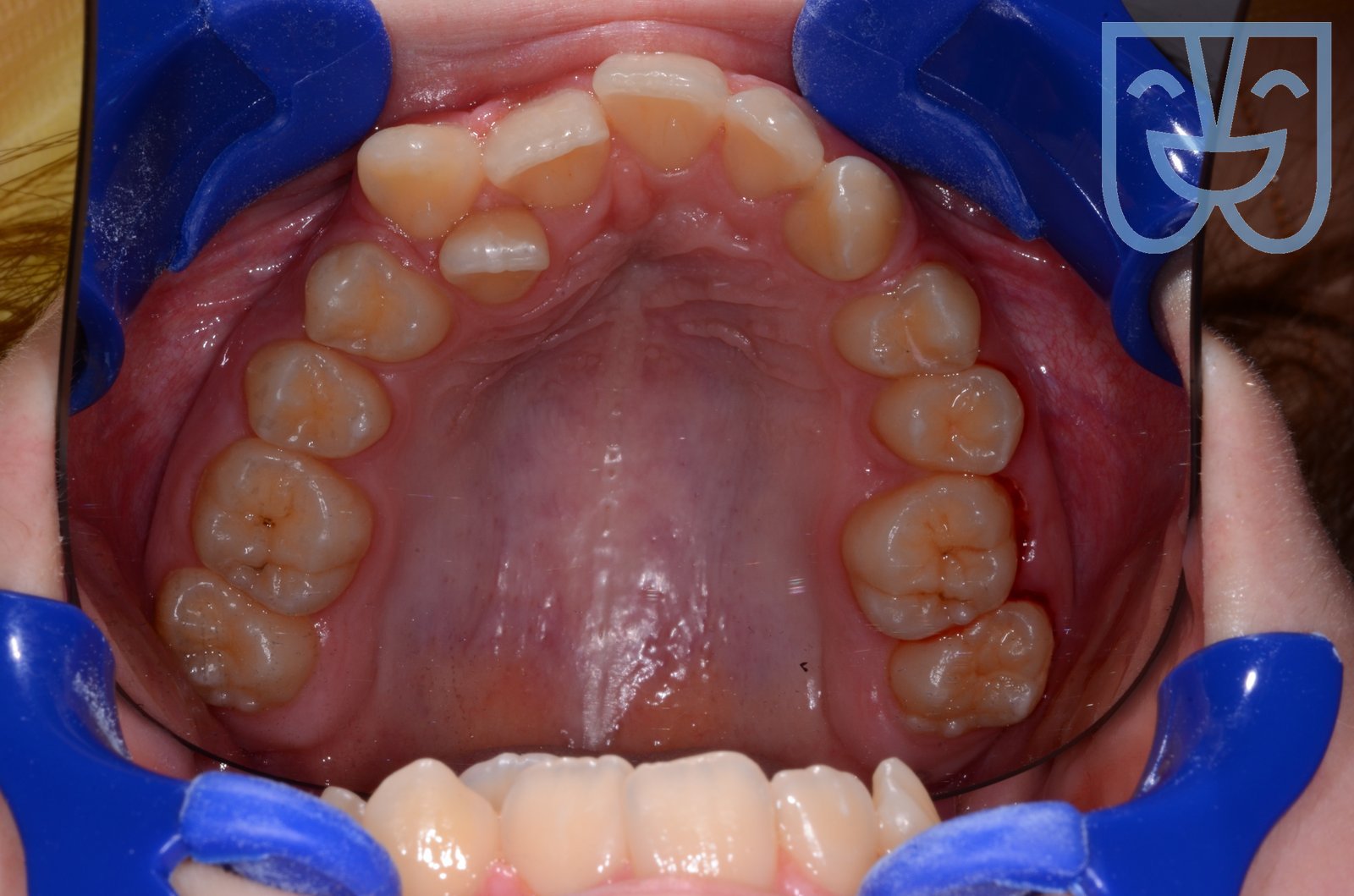
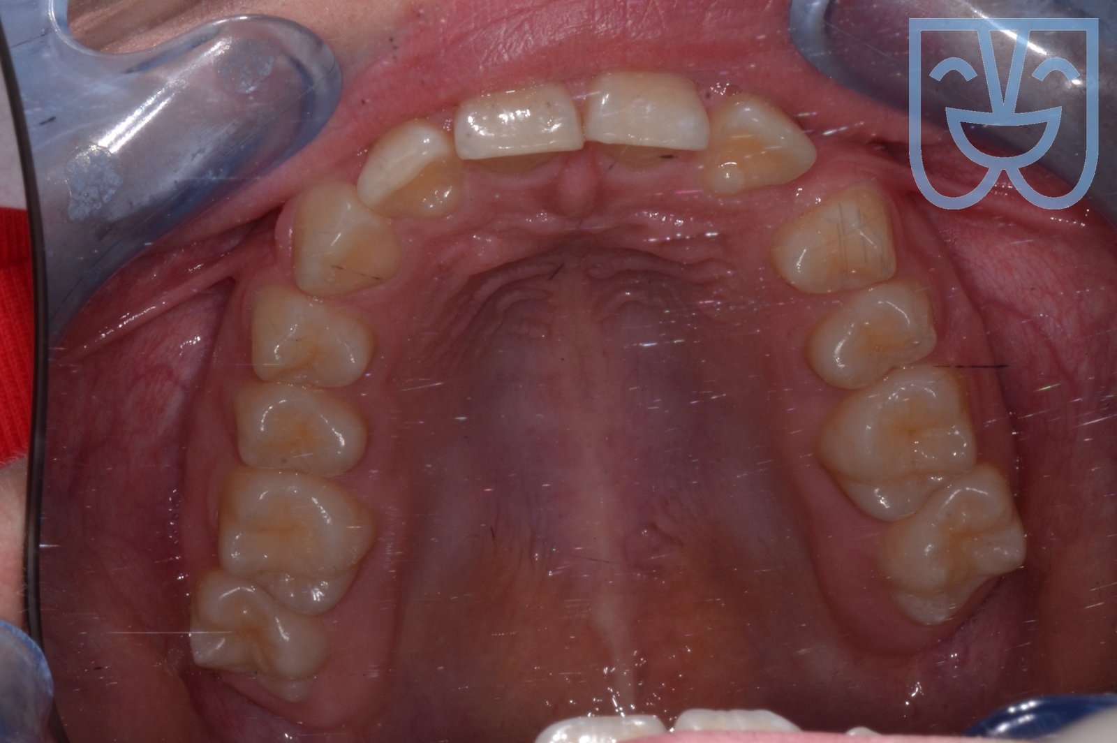
Prima Caso 01 — vista occlusale prima del trattamento
Dopo Caso 01 — vista occlusale dopo il trattamento
II classe monolaterale con canino incluso
Tecnica: ortodonzia fissa superiore e inferiore + sbrigliamento chirurgico · Durata: ~18 mesi
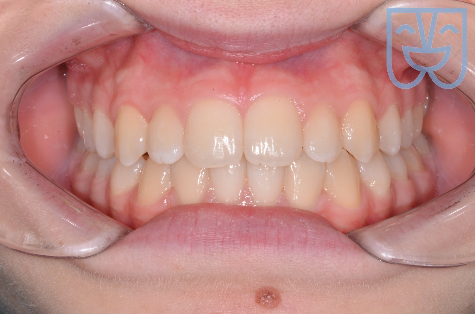
Prima Caso 02 — vista frontale prima del trattamento
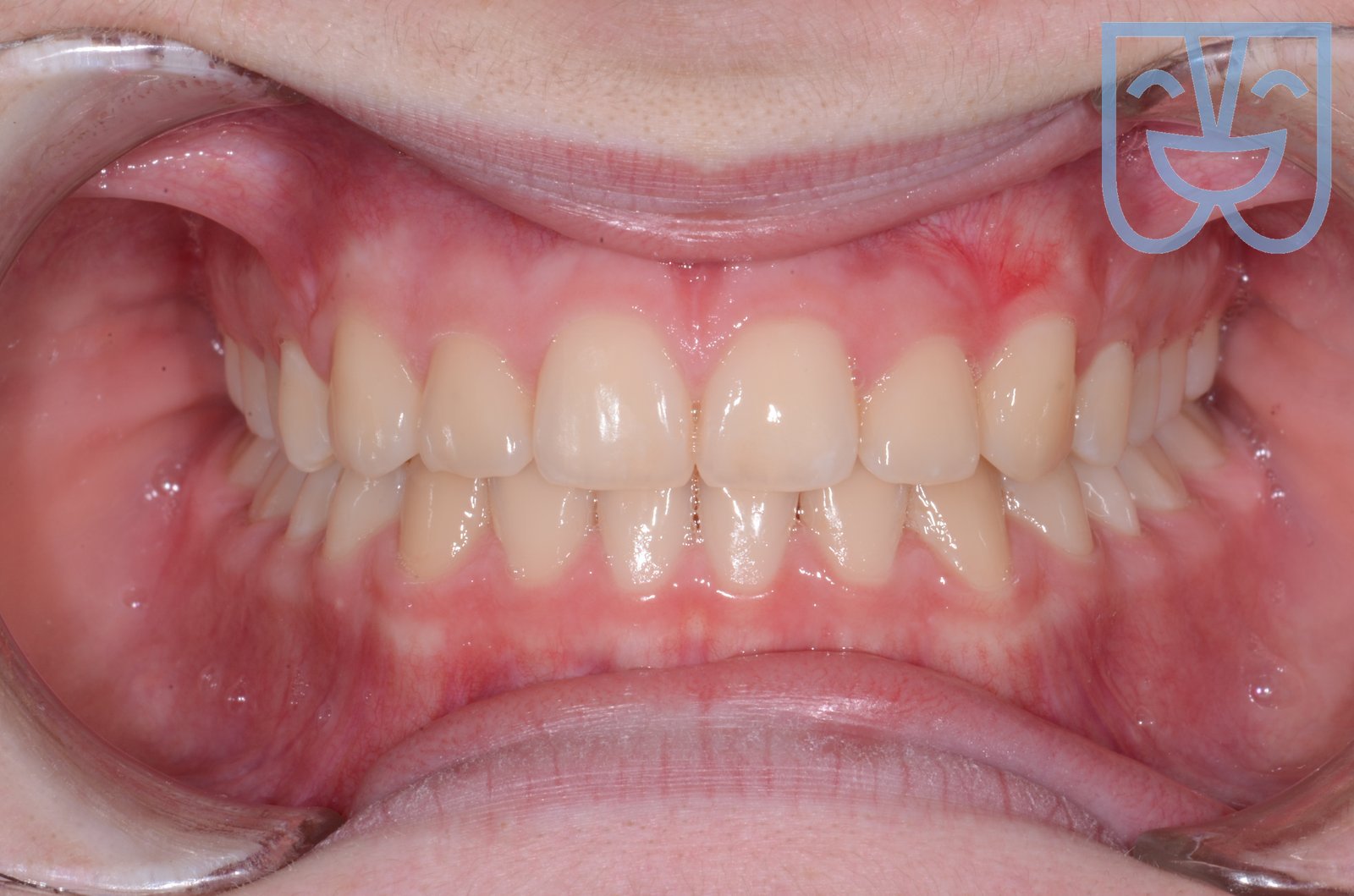
Dopo Caso 02 — vista frontale dopo il trattamento
Prima Caso 02 — profilo prima del trattamento
Dopo Caso 02 — profilo dopo il trattamento
III classe scheletrica con affollamento
Tecnica: maschera di Delaire + apparecchio fisso superiore e inferiore · Durata: ~22 mesi
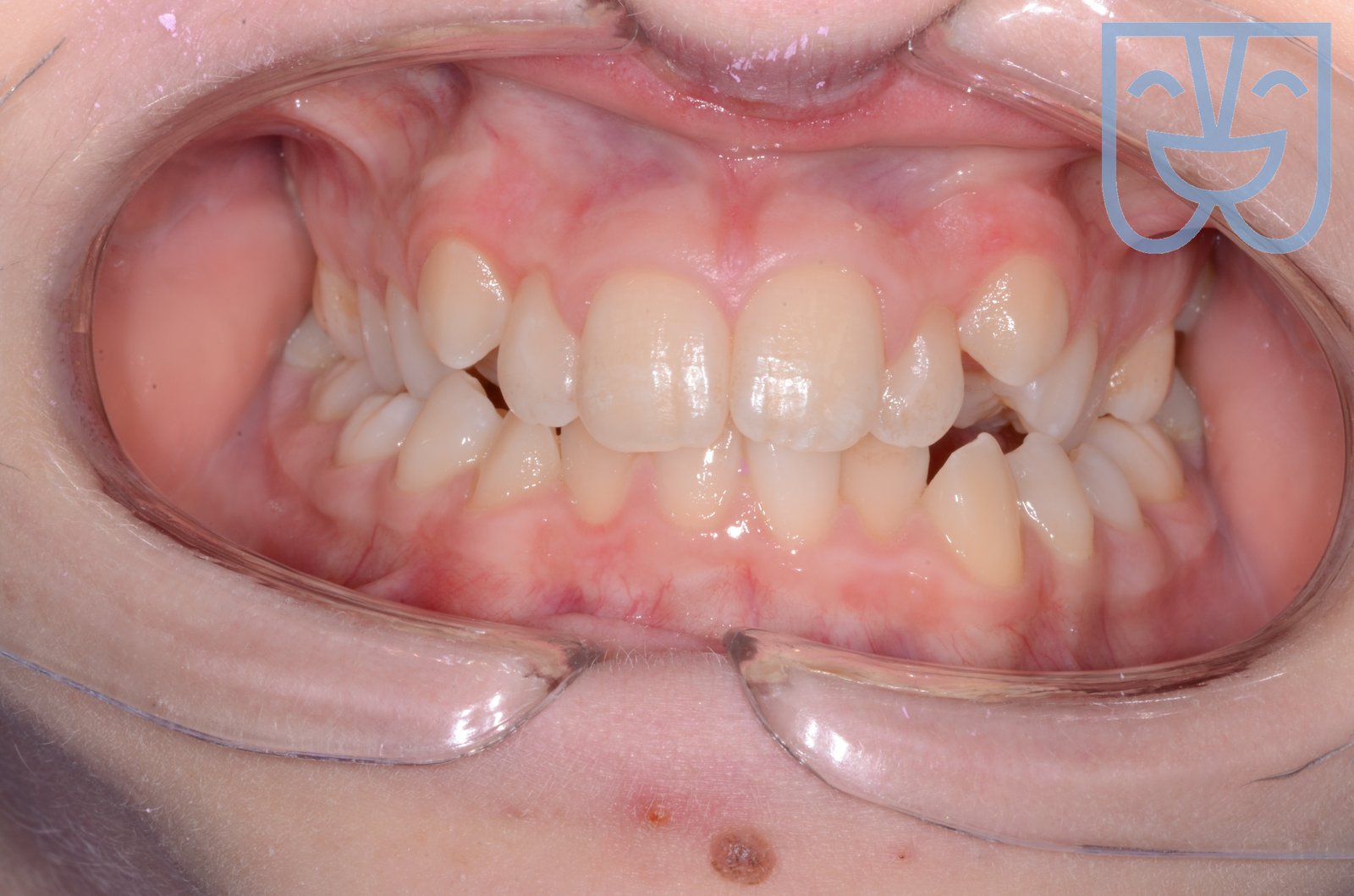
Prima Caso 03 — vista frontale prima del trattamento
Dopo Caso 03 — vista frontale dopo il trattamento
II classe asimmetrica, morso crociato e marcato affollamento
Tecnica: espansore palatale + terapia fissa superiore e inferiore · Durata: ~20 mesi
Prima Morso aperto scheletrico — prima del trattamento
Dopo Morso aperto scheletrico — dopo il trattamento
Morso aperto scheletrico con disallineamento
Tecnica: dispositivo funzionale + terapia fissa superiore e inferiore · Durata: ~36 mesi
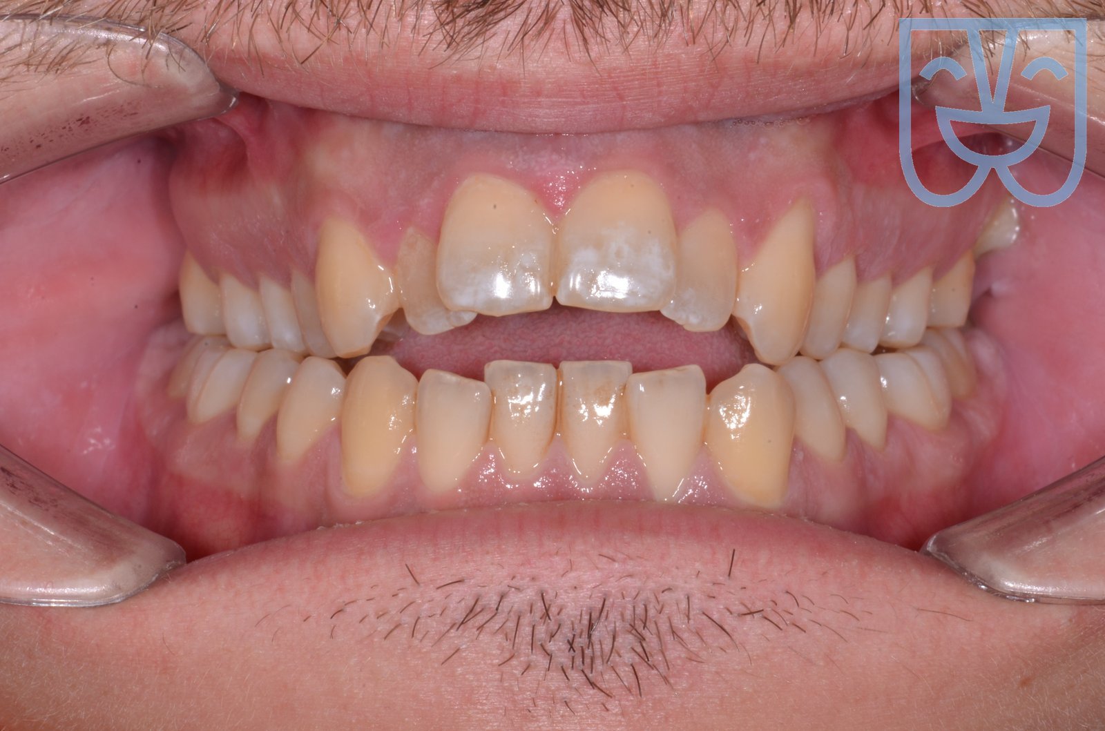
Prima Caso 05 — vista frontale prima del trattamento
Dopo Caso 05 — vista frontale dopo il trattamento
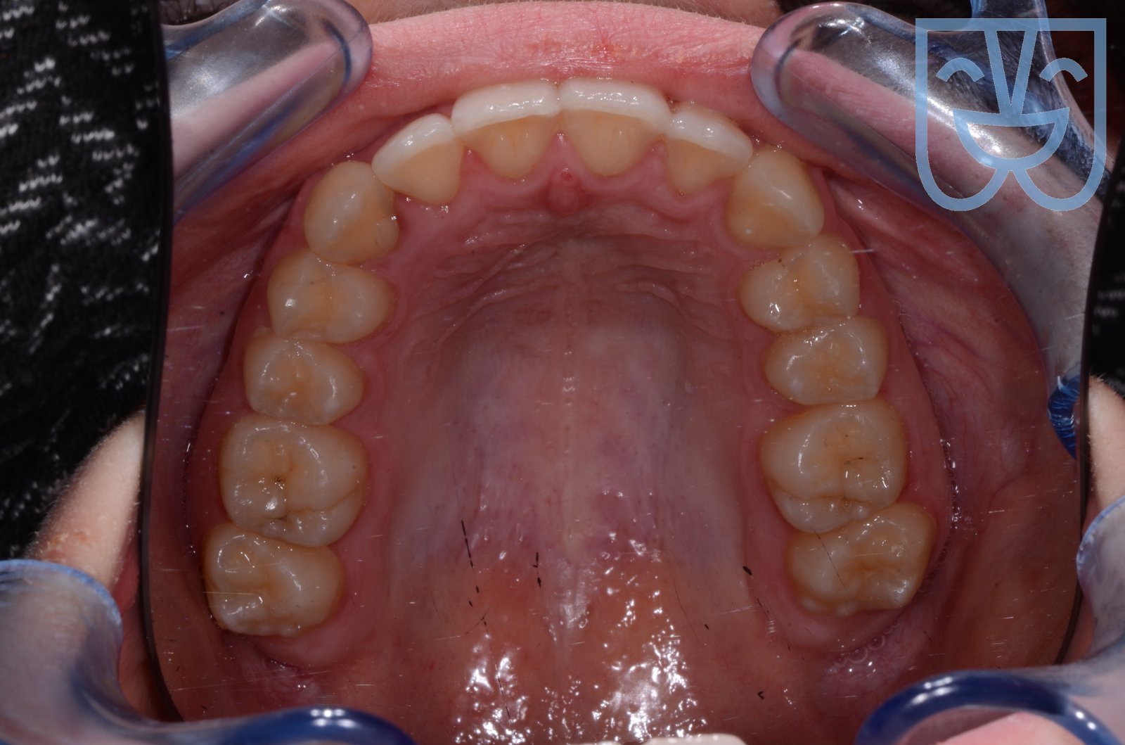
Prima Caso 05 — vista occlusale prima del trattamento
Dopo Caso 05 — vista occlusale dopo il trattamento
I classe dentale con marcato affollamento
Tecnica: terapia fissa superiore e inferiore senza estrazioni · Durata: ~15 mesi
Prima Open bite — vista frontale prima del trattamento
Dopo Open bite — vista frontale dopo il trattamento
Open bite con morso crociato bilaterale
Tecnica: allineatori trasparenti · Durata: ~12 mesi
Prossimamente
Nuovi casi clinici in arrivo

Fissa la tua prima visita.

La prima visita comprende anamnesi, esame clinico e valutazione preliminare. Ricevo in cinque sedi tra la Valtellina e Milano.

Sondrio

Centro Dentale Pagliari

Viale dello Stadio 6
23100 Sondrio (SO)
0342 217118
Sondrio

Studio Dentistico Dr. Pasini

Via Mazzini 24
23100 Sondrio (SO)
0342 218148
Traona

Odontotraona

Via Valeriana 105
23018 Traona (SO)
0342 653342
Grosio

Dental S.r.l.

Via Milano 63
23033 Grosio (SO)
0342 847725
Milano

Continolo & Partners

Via Sanzio 8
20149 Milano (MI)
02 48008825
Email
francescobm@me.com
Risposta entro 24h
Inizia oggi

Pronto a iniziare il
tuo percorso?

Prenota una prima visita. Insieme costruiremo il piano di trattamento più adatto al tuo caso.

Prenota la tua prima visita